15 yıl boyunca yanağına saplanan metal parçasıyla yaşamış! Doktor kontrolünde yüzüne tutulan mıknatısla gerçek ortaya çıktı
Erzincan'da diş tedavisi için hastaneye giden 63 yaşındaki Faik Akın'ın yanağında metal parça olduğu fark edildi. Doktor kontrolü esnasında hastanın yanağına tutulan mıknatısın demir parçayı çekmesiyle ortaya çıkan durum büyük şaşkınlığa neden olurken, 15 yıl önce geçirdiği bir kazayı anlatan Akın, ''Benzinli hızar ile çalışırken zincir koparak çeneme çarpmıştı. Parça yanağıma girmiş ve bunu fark etmemişim'' dedi.
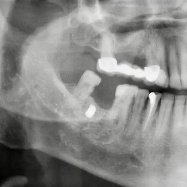
Erzincan'ın merkeze bağlı Aslahlı Mahallesi'nde evli ve 2 çocuk babası emekli memur Faik Akın, Binali Yıldırım Üniversitesi Ağız ve Diş Sağlığı Eğitim ve Araştırma Hastanesi Ağız Diş ve Çene Cerrahisi Bölümü'ne diş tedavisine gitti. Akın'ı muayene ettikten sonra çekilen röntgen filmini inceleyen Dr. Öğretim Üyesi Yakup Gülnahar, yanağında bir parça olduğunu belirledi.

YANAĞINDA METAL PARÇA TESPİT EDİLDİ
Muayenede 15 yıl önce yaşadığı bir olayı hatırlayan Akın, benzinli hızar ile odun kestiği sırada zincirin koptuğunu ve daha sonra yanağında şişlik oluştuğunu söyledi. Dr. Gülnahar'ın mıknatıs ile yaptığı kontrolde parçanın metal olduğu tespit edildi. Dr. Gülnahar, ameliyat ile Akın'ın yanağındaki metal zincir parçasını aldı.

15 YIL BOYUNCA YANAĞINDAKİ ŞİŞLİKLE YAŞAMIŞ
Diş tedavisine gelince metal parçanın röntgen ile görüldüğünü belirten Faik Akın Dr. Öğretim Üyesi Yakup Gülnahar, ağzımdaki şişliğin implant parçası olup, olmadığını sordu. Ben de kendisine implant yaptırmadığımı söyledim. Sonra aklıma 15 yıl önce yaşadığım hızar kazası geldi ve doktora anlattım. Yakup bey, mıknatıs ile kontrolü sonrası yanağımdaki parçanın metal olduğunu belirledi. 15 yıl önce benzinli hızar ile çalışırken zincir koparak çeneme çarpmıştı. Parça yanağıma girmiş ve bunu fark etmemişim. 15 yıl yanağımdaki bu şişlikle yaşadım. Başarılı bir operasyon ile aldılar. Şu anda hiçbir şeyim yok dedi.

MIKNATISIN ŞİŞLİĞİ ÇEKMESİYLE ORTAYA ÇIKTI
Dr. Öğretim Üyesi Yakup Gülnahar da Faik bey, rutin diş tedavisi için bize geldi. İstenilen röntgen filminde bir cisme denk geldik. Kendisine 'İmplant yaptırdınız mı' diye sordum. 'Hayır' dedi. Bu sefer, hasta geçmişinde yaşadığı bir kazadan bahsetti. Kontrol ettiğimiz de mıknatısın şişliği çektiğini gördük. Başarılı bir operasyon ile demir parçasını aldık. Hasta şu anda gayet iyi diye konuştu.
Erzincan, Güncel, Güncel, İmplant, Öğretim Üyesi, Erzincan, Metal, Haberler
- AK PARTİ
- AVRUPA BİRLİĞİ
- AZERBAYCAN
- BASKETBOL
- BELEDİYE
- BEŞİKTAŞ
- CHP
- ÇEVRE
- DEM
- DİPLOMASİ
- DOĞA
- DONALD TRUMP
- DEVLET BAHÇELİ
- EĞİTİM
- EKREM İMAMOĞLU
- ELON MUSK
- EMEKLİ
- EMLAK
- ENERJİ
- ENFLASYON
- ESNAF
- FENERBAHÇE
- FİKSTÜR
- FİLİSTİN
- FUTBOL
- GALATASARAY
- GASTRONOMİ
- GAZZE
- GÜNCEL
- GÜVENLİK
- GÖÇMEN
- HAKAN FİDAN
- HASTANE
- HAYVAN HAKLARI
- HIRSIZLIK
- HUKUK
- IRAK
- İNSAN HAKLARI
- İRAN
- İSRAİL
- İSTANBUL
- İŞÇİ
- İTFAİYE
- JANDARMA
- JOSE MOURINHO
- KAZA